Health Lab
Insulin therapy for type 2 Diabetes requires frequent dosage adjustments. Here’s how type 2 diabetes patients work with their doctors to manage glucose levels.
Health Lab
Learn more about a recent survey which found that a majority of doctors who are not foot specialists don’t know enough about charcot foot damage.
Health Lab
American Diabetes Association released guidelines for diabetic neuropathy treatment, prevention & pain management. See what physicians should know from the ADA.
Health Lab
Researchers are studying endoplasmic reticulum associated degradation & how it corrects proinsulin misfolding. Learn more about ERAD and MIDY diabetes research.
Health Lab
University of Michigan endocrinologist who has type 1 diabetes answers questions about becoming a doctor and living with the disease. Read the full interview.
Health Lab
University of Michigan provides a remote second opinion program for those diagnosed with adrenal cancer. Find out more about the program and the cost.
Health Lab
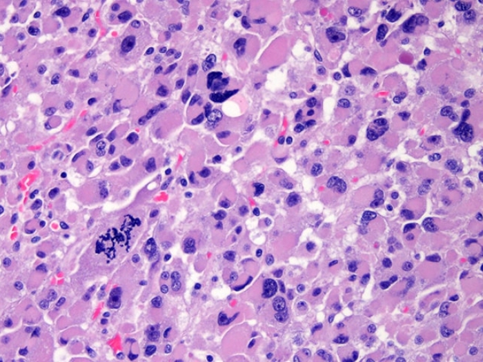
Researchers from across the globe, including University of Michigan, have identified genes that could assist in diagnosing and predicting adrenal cancer.
Health Lab
Researchers at the University of Michigan suggest categorizing non-life-threatening thyroid tumors separately from more aggressive thyroid cancers.
Health Lab
A doctor from the University of Michigan Health System has developed a way to visualize stored insulin in the pancreas of a living creature.