More articles about: Cancer: Cancer Types
DNA helix technology robotic cybernetic image
Health Lab
Metabolite tells cells whether to repair DNA
Findings from researchers at the University of Michigan Health Rogel Cancer Center, published in Cancer Discovery, show how a specific nucleotide metabolite called GTP controls responses to radiation and chemotherapy in an unexpected way.
Doctors with patient while on exam table
Health Lab
Can personalized care prevent overscreening for colorectal cancer in older adults?
Study reveals presenting adults between 76 and 85 with personalized information about the benefits and harms of colon cancer screening decreases excess screening
cancer cell yellow blue
Health Lab
Potato starch supplements could be solution to bone marrow transplant complications
University of Michigan Health Rogel Cancer Center scientists have found a potential solution for preventing a common and dangerous complication in patients that receive stem cell transplants from a donor’s blood or bone marrow.  
older person pouring pills into hand close up
Health Lab
Early findings suggest this cancer drug may be effective against advanced tumors caused by genetic mutations
Sparrow Health System, part of University of Michigan Health, experts release findings in a study of a cancer drug for patients with genetic mutations.
Health Lab
Tumor-destroying soundwaves receive FDA approval for liver treatment in humans
Michigan Medicine has developed a new technique that provides a non-invasive alternative to surgery, chemotherapy and radiation treatments for cancer.
surgeons in operating room
Health Lab
A unique approach to transplantation for liver malignancies
A Michigan Medicine transplant specialist examines different ways of caring for patients with liver cancer.
vial of blood with blue background cell floating
Health Lab
Hitting the mark
University of Michigan Rogel Cancer Center researchers are unraveling its nuances, advancing enabling technologies, advocating for patients and figuring out how to ethically integrate this technology into clinical care.
Health Lab
"Drawing Dad" becomes sensation throughout pediatric cancer unit
A form of art therapy for one dad brings joy to patients across his child's floor, also in-patient receiving treatments.
liver in bright green against navy background
Health Lab
Genetic variation with MASLD reveals subtypes and potential therapeutic avenues
A Michigan Medicine team of experts seeks to identify the human genetic causes of MASLD, formerly called NAFLD
cancer cell
Health Lab
Language barriers in cancer care
Research from experts at Michigan Medicine shows that significant language-based disparities exist in patients’ access to cancer care services, and it’s well before their first appointment with a doctor. 
Hand Finger Pointing Gears Machine
Health Lab
AI can predict certain forms of esophageal and stomach cancer
AI can predict certain forms of esophageal and stomach cancer Michigan Medicine study says.
glioma brain scan
Health Lab
Study finds improved survival for incurable brain tumor, providing ‘a crack in the armor’
A potential drug candidate called ONC201 nearly doubled survival for patients with diffuse midline glioma and DIPG.
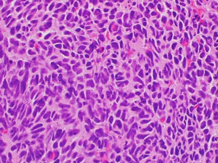
pink purple microscopic cells
Health Lab
Study shows new approach to target deadly form of prostate cancer
A study from the University of Michigan Rogel Cancer Center uncovers a new mechanism to explain why some prostate tumors switch from a common, treatable form to a more rare and aggressive form of prostate cancer.
money pills cancer vial yellowArtboard
Health Lab
Changing the way immune-based cancer drugs are delivered could reduce costs by 14%
An analysis finds that up to millions of dollars could be saved annually on cancer immunotherapy treatments across the Veterans Health Administration by reconsidering how those drugs are delivered.
cancer cell
Health Lab
Cancerous brain tumor cells may be at ‘critical point’ between order and disorder
Research, led by Michigan Medicine and the University of Michigan, suggests that glioblastoma cells are poised near a “critical point” of order and disorder — meaning, the cells possess some form of large-scale coordination throughout the whole tumor that allows them to respond in practical unison to attempts to kill tumor cells, such as chemotherapy or radiation.