More articles about: Cancer: Cancer Types
Health Lab
Prostate Cancer and Hereditary Risk: A Doctor Explains the Connection
Some genetic mutations linked to breast cancer also can affect men, but in a different way. A Michigan Medicine urologist explains the connection.
Health Lab
Looking Beyond Cancer Cells to Understand What Makes Breast Cancer Spread
Get the latest information on how DDR2 contributes to the spread of breast cancer from researchers University of Michigan Comprehensive Cancer Center.
Graphic of laryngeal cancer
Health Lab
The Best Treatment for Laryngeal Cancer? This Approach Helps Decide
Laryngeal cancer treatments include chemoradiation & surgery. U-M oncology team offers an approach for deciding between chemotherapy & radiation and surgery.
A woman worrying about breast cancer recurrence
Health Lab
Doctor Communication Key to Managing Breast Cancer Patient Risk Worries
Doctor patient communication is important in understanding breast cancer recurrence. See how breast cancer patients overestimate the risk of cancer recurrence.
A woman suffering from early stage breast cancer side effects
Health Lab
Half of Breast Cancer Patients Experience Severe Side Effects
93 percent of early stage breast cancer patients experience cancer treatment side effects. See the survey results & common breast cancer treatment side effects.
Graphic showing potential pancreatic cancer
Health Lab
Study Challenges Potential Pancreatic Cancer Target
Study shows inhibiting the PDX1 protein stops pancreatic cancer growth, but makes the cancer more aggressive. Learn more about this pancreatic cancer treatment.
Doctor and patient talking about breast cancer second opinions
Health Lab
Most Early Stage Breast Cancer Patients Don’t Get a Second Opinion
U-M study shows 90 percent of early stage breast cancer patients don't get a second opinion. See when cancer patients are most likely to get a second opinion.
A doctor talking to a patient about prostate cancer
Health Lab
Prostate Cancer Treatment Rates Drop, Reflecting Change in Screening Recommendations
Prostate cancer screenings have dropped, but prostate cancer treatment remains high. Learn more about the overdiagnosis and overtreatment of prostate cancer.
Bowl of fruits, vegetables, & grains that reduce cancer-related fatigue
Health Lab
Diet Could Help Breast Cancer Survivors Beat Fatigue
U-M Study finds that eating fruits, vegetables, & grains helps breast cancer survivors reduce cancer-related fatigue. See the breast cancer diet from the study.
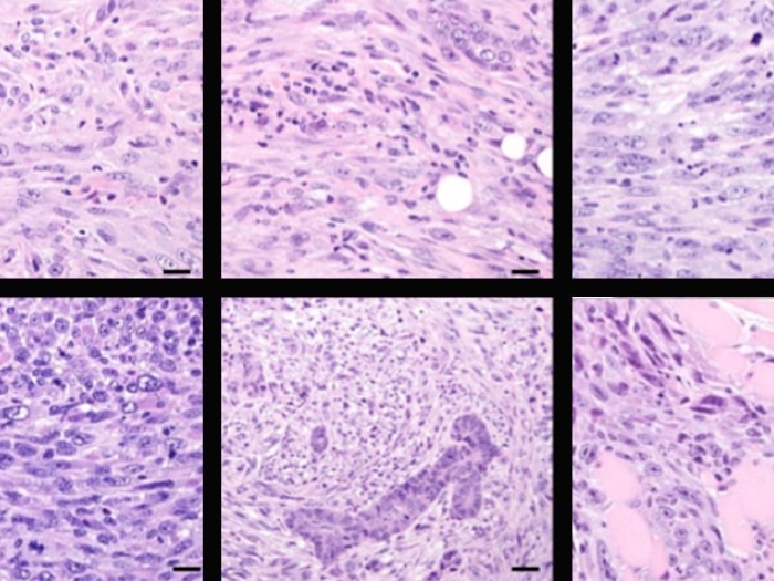
Microscopic images of metaplastic breast cancer cells
Health Lab
Researchers Find Key Genetic Driver for Rare Type of Triple-Negative Breast Cancer
U-M researchers discovered removing the protein CCN6 from mice caused metaplastic breast cancer. Find out what this means for future breast cancer research.
Microscopic image of glioblastoma multiforme
Health Lab
Immunotherapy, Gene Therapy Combination Shows Promise Against Glioblastoma
Study shows immune checkpoint blockade in addition to gene therapy could help treat gliomas tumors. Learn more about the study on a potential glioma treatment
A patient considering a contralateral prophylactic mastectomy
Health Lab
Study Finds ‘Striking’ Use of Double Mastectomy
One in six early stage breast cancer patients choose double mastectomy. Learn about unnecessary bilateral mastectomy and why patients choose to have it.
Pink graphic for oropharyngeal cancer awareness
Health Lab
Predicting Throat Cancer Recurrence with a Blood Test
U-M study finds biomarkers that may signal throat cancer recurrence. Learn how the ratio of E7 antibodies may help predict oropharyngeal cancer recurrence.
A breast cancer patient deciding whether to get implant reconstruction to autologous reconstruction
Health Lab
More Complications, Less Satisfaction in Breast Cancer Patients Who Have Radiation and Implants
A study on breast reconstruction after radiation therapy compares implant reconstruction to autologous reconstruction. Lean more about this breast cancer study.
Scientist in a lab with EGFL6-blocking antibodies
Health Lab
New Target Could Halt Growth and Spread of Ovarian Cancer
Researchers have shown the EGFL6 protein helps ovarian cancer spread. Learn more about ovarian cancer treatment and prevention using EGFL6-blocking antibodies.