More articles about: Breast Cancer Treatment
Cancer Aware
Lumpectomy vs. Mastectomy
Dr. Melissa Pilewskie, U-M Health Rogel Cancer Center surgical oncologist, discusses the two main surgical options for treating breast cancer.
Cancer Aware
Metastatic Breast Cancer
Lynn Henry, M.D., Ph.D., disease lead of the Rogel Cancer Center’s Breast Cancer Program, discusses metastatic breast cancer. This is the process of breast cancer that has spread to another part of the body, including bones, liver, lung, and brain.
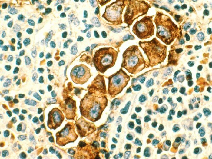
lymph nodes breast cancer under microscope
Health Lab
Study finds nanomedicine targeting lymph nodes key to triple negative breast cancer treatment
In mice, nanomedicine can remodel the immune microenvironment in lymph node and tumor tissue for long-term remission and lung tumor elimination in this form of metastasized breast cancer.
Woman sitting at desk with doctor on zoom
Health Lab
What is lymphedema?
What is lymphedema, what causes it and how can it be treated? Michigan Medicine lymphedema experts explain the condition and what treatments are available.
Radiation therapy of young women breast cancer
Health Lab
Physicians Don’t Always Recognize Patients’ Radiation Therapy Side Effects
A new study finds that significant side effects were under-recognized in both younger patients and Black patients being treated for breast cancer.
Health Lab
6 Misconceptions About Breast Reconstruction Surgery
Two plastic surgeons address common misconceptions about breast reconstruction surgery, and answer commonly asked questions.
woman stretching out arms and a female physical therapist holding her one arm and talking with her
Health Lab
5 Reasons Rehabilitation Care is Important After Breast Cancer
Rehabilitation care can repair and restore the body after many cancer treatments leave patients weak and fatigued.
doctor's hand on patient's shoulder
Health Lab
Breast Reconstruction Surgery: Options, Benefits and Barriers
Breast reconstruction surgery can be a key part of recovery from treatment, learn about the options, benefits and barriers from an expert.
Women on couch with wrist hurting
Health Lab
Keeping a Life-Limiting Side Effect from Threatening a Life-Saving Breast Cancer Treatment
For patients undergoing aromatase inhibitor treatment for breast cancer, muscle and joint pain can be a significant side effect. These tips may help manage AI treatment-related pain.
Image of purple and blue colored cells of metastatic breast cancer.
Health Lab
Metastatic Breast Cancer: What You Should Know
Oncologist N. Lynn Henry, M.D., Ph.D., explains what metastatic breast cancer is, who it affects and how it's treated.
Health Lab
Acupressure Relieves Breast Cancer Treatment Symptoms, Study Finds
Breast cancer survivors reported improvements in depression, pain, anxiety and sleep after self-administered acupressure.
Health Lab
Study Captures the Importance of Screening Mammography for Women with Breast Reconstructions
An innovative, 15-year study reveals low rates of breast cancer recurrence in patients with reconstructed breast tissue, chest walls or lymph nodes.
Image of woman wearing green infront of pink background wearing breast cancer pin
Health Lab
Mental Health May Predict Pain Levels After Breast Cancer Treatment
One of the most common lingering challenges of breast cancer treatment might be linked to past trauma, underscoring the need to address mental and physical health.
Health Lab
Breast Cancer Patients Report Heavy Financial Toll of Treatment
Read findings from Michigan Medicine study into breast cancer treatment costs, which reveals patients report significant financial burdens from cancer treatment.
Health Lab
Breast Cancer in Men: What All Guys Should Know
One in eight men are diagnosed with breast cancer. Find out five facts about male breast cancer, including information on risk factors and how its treated.