More articles about: Body Work
white bathroom door with blue gender sign
Health Lab
Rare Urinary Condition in Women Gets New Guidance
Urinary issues can be common in women, and for people with female urinary stricture, most of the treatment guidance had been based on treatments for men, until now.
pregnant woman holding stomach on couch in pain
Health Lab
Tied to Undiagnosed Aortic Disease, Aortic Dissection in Pregnancy Proves Difficult to Predict
The 100th report out of the International Registry of Acute Aortic Dissection details the experiences of 29 women who faced this rare life-threatening complication while pregnant.
image of surgery happening above stomach with blue surgical drapes with surgical tools with white gloves removing appendix
Health Lab
Antibiotics Could Replace or Delay Surgery for Appendicitis in Adults
Findings from the largest trial of its kind to date point to more control over treatment choices for patients with appendicitis.
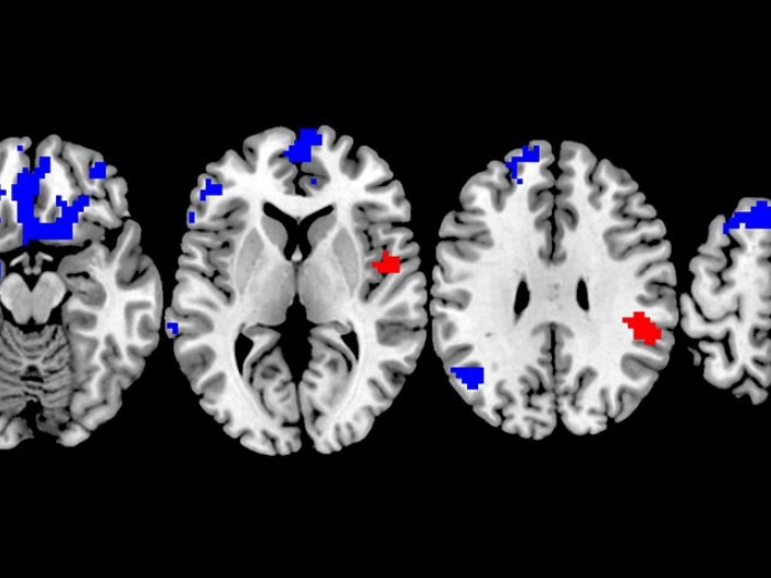
Brain scans of OCD.
Health Lab
Which OCD Treatment Works Best? New Brain Study Could Lead to More Personalized Choices
For people with OCD, or obsessive compulsive disorder, a new brain imaging study may help personalize treatment including exposure therapy.
daughter hugging mother in dark room
Health Lab
The COVID-19 Heroes You Haven’t Met Yet: Behind the Scenes of a Pandemic
Two forensic pathologists highlight their work as front line workers in the back rooms of the pandemic.  
two computers showing a brain and scans
Health Lab
A ‘Dynamic’ Technique to Categorize Seizures
An international group of experts suggests an approach to study seizures that could help propel understanding of epilepsy forward.
health care worker stretching patient
Health Lab
Rehabilitation Care is Needed for Many COVID-19 Patients
Patients recovering from COVID-19 may need physical and cognitive rehabilitation to help combat the damaging effects the novel coronavirus has on the body and mind.
green and red cell on left and bottle of medicine with syringe on right
Health Lab
Drug That Calms ‘Cytokine Storm’ Associated with 45% Lower Risk of Dying among COVID-19 Patients on Ventilators
Critically ill COVID-19 patients on ventilators who got tocilizumab in an observational study were 45% less likely to die.
Knee tear ACL
Health Lab
When is the Optimal Time for Knee Surgery and Rehabilitation After Knee Dislocation?
A new clinical trial aims to discover the optimal time for surgery after a knee dislocation, and when to begin rehabilitation post-surgery.
See through body of end stage kidney disease with teal blue background
Health Lab
Does Bariatric Surgery Help or Harm Patients with ESKD?
Research shows bariatric surgery is not only safe for patients with end-stage kidney disease (ESKD), but may aid in their ability to qualify for a kidney transplant.
Group of medical professionals outside
Health Lab
Disease Connection Answers May Exist within this Arizona Tribe
Recent studies are uncovering how diabetes may structurally alter the brain, leading to cognitive decline.
stomach with appendicitis flashing red
Health Lab
Why is Appendicitis Not Always Diagnosed in the Emergency Department?
A new study examines the factors associated with a potentially missed diagnosis of appendicitis in children and adults in the emergency department.
Staph infection on wound illustration
Health Lab
Half of Lupus Rashes Harbor High Levels of Bacteria Responsible for Infections
For patients with lupus, new study finds skin rashes may contain high levels of staph bacteria, which could be spreadable.
Sleep track image
Health Lab
A Consumer Sleep Tracker Researchers Can Actually Use
A new open-source algorithm tested by researchers using the Apple Watch may revolutionize the accuracy of sleep tracker wearables.
Getty Image
Health Lab
How Effective is Body Cooling in Patients that Experience Cardiac Arrest?
Michigan Medicine researchers initiate a nationwide clinical trial with hopes of discovering the effectiveness of body cooling on patients who experience a cardiac arrest.