More articles about: Body Work
Police officer in uniform performing CPR to person lying on ground. Ambulance in  background.
Health Lab
Balance between sleep and exercise may be key to help osteoarthritis patients manage pain
Although osteoarthritis has no cure, researchers are developing a new intervention to improve patients’ chronic pain outcomes.
Doctor in White Coat with Foot Bones
Health Lab
Complexities of foot and ankle surgery: finding the right solutions
Foot and ankle conditions are as varied as the patients living with them. A U-M orthopaedic surgeon advocates personalized medicine to meet these unique needs.
woman sleeping in bed with blanket in black and white photo
Health Lab
Sleep is vital to associating emotion with memory
According to a study, researchers find that disrupted sleep in mice leads to limited to no emotional responses.   
flower petal clock with leaf on washed wood background
Health Lab
“Springing forward” affects early birds less than night owls, study finds
Daylight Saving Time shift that loses an hour of sleep affects people whose genetic profile makes them “night owls” more than it does “early birds”.
women in wheelchair looking at pregnancy test in bathroom with teal and pink and off-white muted colors
Health Lab
Focusing on the woman, not just the disability, could improve reproductive care
What researchers learned is being used to create the first patient-reported outcome measures for reproductive health in this population.  
Hand putting cbd drops in mouth for chronic thc pain fibromyalgia
Health Lab
People with fibromyalgia substituting CBD for opioids to manage pain
The cannabis-derived substance provides fewer side effects, with less potential for abuse.
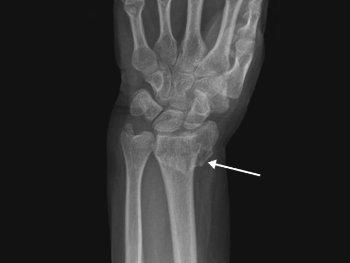
forearm wrist bone fracture with arrow pointing to it on xray
Health Lab
Personalized medicine, not X-rays, should guide common forearm fracture treatments in older adults
The new findings will guide future treatments of distal radius fracture.
three people walking around with crutches or in wheelchair with broken bones on yellow background
Health Lab
Study shows when people with cerebral palsy are most likely to break bones
People with the condition risk fracture more than the general population, but the timing raises new questions.
drawing of yellow man in bed and yellow wife standing over him holding hand with navy accents
Health Lab
A better approach to caring for cirrhosis
Cirrhosis of the liver is a complex condition that requires a network of support to manage. Two U-M experts are working to improve the quality of cirrhosis prevention and care.
man coughing with cane leaving hospital in orange colors
Health Lab
Nearly Half of COVID-19 Patients Left Hospital in Worse Physical Condition
The results fill in a knowledge gap about how patients recover from the disease.
woman reflected in clock holding head in pain
Health Lab
Irregular Sleep Connected to Bad Moods and Depression, Study Shows
Irregular sleep schedules can affect mood and risk of developing symptoms of depression according to a study of first-year medical residents that used Fitbits and smartphones.
person holding stomach in pain
Health Lab
How to Best Manage Crohn’s Disease
As Crohn’s disease rates increase steadily, effective evidence-based ways to treat the complex disease are more important than ever.
cannabis green brain with white lightening above it
Health Lab
More Than Half of People Using Cannabis for Pain Experience Multiple Withdrawal Symptoms
Medical cannabis and recreational marijuana users may not realize the headaches, dizziness, anxiety and other symptoms they feel between hits are signs of withdrawal.
Stethscope and pills
Health Lab
Study: Treatable Cause of High Blood Pressure Often Ignored
People whose blood pressure is hard to control might have another condition that’s the real culprit. So why aren’t they being tested for primary aldosteronism?
couple holding hands at doctor's office
Health Lab
Understanding Quality of Life for Caregivers of Persons with Traumatic Brain Injury
New research uses a unique survey tool to understand how caring for a person with TBI impacts the caregiver’s mental health and well-being.